米兰体彩下载 大家首款!国产癫痫和帕金森病细胞药物获中好意思双批,凭国际着手技巧参预临床


今天,上海跃赛生物科技有限公司研发的癫痫细胞解救药物UX-GIP001打针液获中国国度药监局药品审评中心批准,将参预临床进修阶段。前不久,这款立异药已获好意思国食物药品监管局(FDA)临床进修批准,成为大家首款参预临床的iPSC(指挥性多颖异细胞)来源异体癫痫细胞解救药物。这亦然上海国投先导生物医药母基金在细胞解救限度的首个直投形貌。凭借国际着手的干细胞定向分化技巧,跃赛生物研发的帕金森病细胞解救药物也已获取“中好意思双批”,现在在临床进修中披走漏细致的安全性和积极疗效。这种新疗法任意了传统对症解救的局限,向疾病竖立型根治筹算迈进。
基础有计划奠定国际着手技巧
指挥性多颖异细胞是指通过导入特定的转录因子,将最后分化的体细胞重编程为多颖异细胞,竣事“永生久视”。它们在基因和卵白抒发、表不雅遗传修饰景况、倍增和分化能力等方面齐与胚胎干细胞相通,但与胚胎干细胞解救比较,不存在伦理争议,其来源细胞(如外周血细胞、皮肤细胞)更易获取,是以频年来已成为多颖异细胞解救家具研发的主要标的。能否用指挥性多颖异细胞解救神经系统疾病?这是跃赛生物创始东说念主、中国科学院脑科学与智能技巧独特立异中心高档有计划员陈跃军有计划的课题。经过多年基础有计划,他教唆团队研发出新的高通量单克隆谱系示踪技巧、神经细胞高效分化新技巧,在业内初度瓦解了神经分化历程的“黑匣子”。“把最后分化的体细胞重编程为多颖异细胞历程中,会产生大批莫得解救效果的非意见细胞。”陈跃军施展注解,“咱们研发的高通量单克隆谱系示踪技巧,能无缺瓦解每个细胞的分化旅途。在此基础上,就能开荒新的分化和质控策略,减少非意见细胞。”

跃赛生物研发东说念主员在本质室责任。
基础有计划取得的任意,让跃赛生物领有了国际着手技巧。公司坐褥的细胞药物中,意见细胞比例媲好意思国、日本企业开荒的同类药物高得多,从而大幅缩小了移植到患者脑内的细胞数目,使细胞解救更安全,成药性也更好。在癫痫患者脑内,阻扰性GABA能中间神经元功能缺失,导致神经聚集过度喜跃,是癫痫发作的中枢病理。跃赛生物凭借私有的东说念主多颖异细胞立异技巧平台,定向分化出阻扰性神经祖细胞。将它们移植到患者脑内,有望重建局部阻扰性神经环路,减少癫痫发作。
两大疾病临床进修令东说念主期待
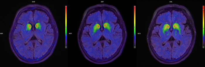
正在进行的临床进修,已披走漏洋产细胞药物令东说念主期待的远景。2025国际帕金森和通顺辞谢协会年会上,跃赛生物研发的大家首款“中好意思双批”自体细胞解救家具UX-DA001以“最新任意性有计划”入选了大会表面讲述。上海交大医学院附属瑞金病院在年会上发布了首例帕金森病患者解救后6个月的随访数据:患者通顺功能权贵改善,MDS-UPDRS-Ⅲ评分在“关期”改善21分,在“开期”改善9分,改善比例均突出45%;每天“关期”时候平均减少3.6小时,无烦东说念主异动症的“开期”时候加多3.3小时;医学影像披露,双侧壳核移植区的多巴胺转运体信号握续增强。

患者脑部术前、3个月、6个月的18F-FP-CITPET图像
国产细胞药物解救癫痫的远景,也值得期待。癫痫俗称“羊癫疯”,影响着大家约7000万东说念主健康,中国患者约1000万。多达1/3的患者经药物解救无效,发展为药物难治性癫痫,米兰体彩app其中部分可经致痫灶切除术和电刺激神经解救来收敛,但有反作用。因此,开荒一种可遴荐性针对癫痫病灶、保留相邻组织且不激励药物反作用的细胞疗法至关要紧。跃赛生物CEO吴岚林暗意,公司已为UX-GIP001解救癫痫的临床进修作念好准备,行将开动患者入组责任。“与小分子药物不同,指挥性多颖异细胞药物具有一次打针、永恒灵验的秉性,它们定向分化成意见细胞后,表面上能在患者大脑中毕生存活。”吴岚林说。这种细胞疗法分为自体、异体两类技巧,自体疗法的指挥性多颖异细胞来自患者本东说念主,异体疗法的指挥性多颖异细胞来自健康个体。前者的上风,是细胞移植后患者不需要收受为期一年的抗排异免疫解救;后者的上风是可批量化坐褥,使家具价钱远低于自体疗法,曩昔家具获批上市后,有望竣事医保险翳。
立异生态和本钱助企业成长
跃赛生物的“大家首款”后果,是上海频年来细胞和基因解救产业快速发展的一个缩影。市科委先容,在这一世物医药前沿赛说念,上海效用打造张江细胞与基因产业园、浦江基因曩昔谷,已积贮200家以上企业,占我国细胞和基因解救产业链企业的三分之一。“十四五”以来,上海已有5款细胞和基因解救家具获批上市,其中4款是CAR-T细胞解救药物,占寰宇50%;另一款是血友病B基因解救药物,为国内创始。150多个在研形貌参预临床进修,大家首个基因解救遗传性耳聋、异体通用型免疫细胞解救本人免疫病等重磅后果问世。在免疫细胞、干细胞、病毒载体类、核酸类药物等研发限度,上海处于寰宇着手地位;在环状RNA、干细胞定向分化等限度,达到国际着手水平。谈及上海生物医药产业的立异生态,陈跃军说,在这座城市可汇聚大批一流的生物医药科研和产业东说念主才,在跃赛生物邻近1—5公里内可找到各样CRO(医药协议研发组织),产业资源丰富完备。“咱们公司在成长历程中,得到了市科委、浦东新区和外高桥接洽部门放肆撑握,通常有专科东说念主员上门,提供家具报告、东说念主才政策等方面的指导。‘科创海关’等立异举措更是思企业之所思,处治了咱们研发中的燃眉之急。”在政府撑握下,跃赛生物已在外高桥保税区建成4000平素米研发中心和GMP洁净厂房。

跃赛生物坐褥细胞药物的GMP洁净厂房
在跃赛生物成长历程中,国有本钱和社会本钱也演出了要紧变装。上海国投先导生物医药母基金、浦东引颈区产业发展基金已聚积投资这家企业近亿元,上国外高桥私募投资基金也参与了A+轮融资。本年2月,跃赛生物晓喻完成总数达3亿元的A轮和A+轮融资,除了国资基金,还引入了磐霖本钱等风投契构以及来自天士力医药的产业本钱。
国投先导老成东说念主先容米兰体彩下载,上海国投先导生物医药母基金将发扬国有本钱的计谋引颈和“耐性本钱”作用,伴随跃赛生物等立异企业成长,协助企业在各个发展阶段拓展融资渠说念,鼓吹更多的沪研国产立异药早日惠及庞杂患者。
开云体育官方网站 - KAIYUN
备案号: